Genel
Yayınlanma: 04 Eylül 2023 - 13:16
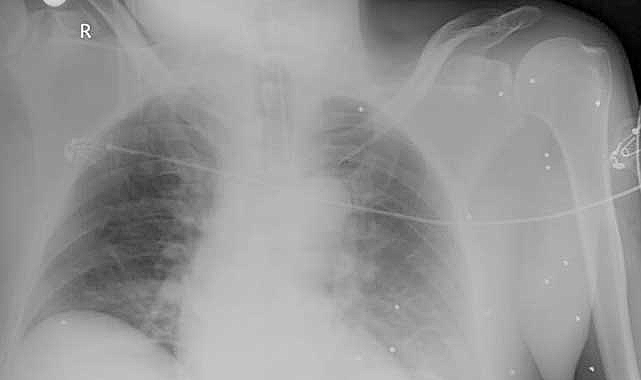
Vücudunda 300' yakın saçma bulunan Osman Yıldırım'ı ağabeyi vurmuş!
Antalya'nın Serik ilçesinde eski Abdurrahmanlar Mahallesi Muhtarı Tuncer Yıldırım (52), kredi ve miras yüzünden husumetli olduğu ağabeyi Osman Yıldırım'a (59) av tüfeğiyle ateş etti. Ağır yaralanan Yıldırım'ın vücudunda, 300'e yakın saçma tespit edildi.
Genel
04 Eylül 2023 - 13:16









